診療方針
循環器内科とは循環器疾患(心臓および末梢血管の病気)の診断・治療をメインに行う診療科です。
さらに、循環器疾患の危険因子である生活習慣病(高血圧症、糖尿病、脂質異常症、高尿酸血症など)に対しても、精査・加療ならびに生活指導を行うことで循環器疾患の発症予防に努めます。
参考:メタボリック・ドミノ
日本臨床 61:1837(2003)より引用
※生活習慣病の放置がきっかけで、動脈硬化疾患が進行していく過程を図化しています。
主な診療内容
◆受診のきっかけ
-
対応可能な病気の一覧
-
緊急対応可能な病気の一覧
主な循環器疾患診断・治療機器
-
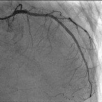
血管造影装置
-
CT
-
超音波検査
-

エコー図
-
-
-
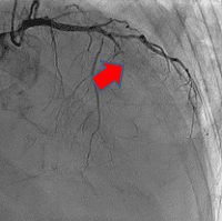
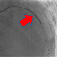
虚血の例
-

- LAD虚血
-

- LCx虚血
-

- RCA虚血
-
-
ABI
-

- 下肢動脈の狭窄・閉塞ABI
-
-

- 下肢動脈の狭窄・閉塞の評価図
-
-
-
終夜睡眠ポリグラフィ(PSG)検査
-

- 当院医師による睡眠評価の例
-

- 終夜睡眠ポリグラフィ(PSG)検査表
-
主な機器
主な治療、手術内容の一例及び、実績
-
治療・手術内容
-
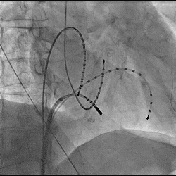
経皮的冠動脈インターベンションの一例
-

- 【1】術前
-

- 【2】ワイヤー通過
-

- 【3】ステント留置
-

- 【4】術後
-
-
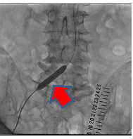
経皮的末梢動脈形成術の一例
-
-

- 【1】術前
-
-

- 【2】ワイヤー通過
-

- 【3】ステント留置
-
-

- 【4】術後
-
-
-
経皮的腎動脈形成術の一例
-

- 【1】術前
-

- 【2】ステント留置
-

- 【3】術後
-
-
経皮的心筋燃焼灼術(カテーテル・アブレーション)の一例
-
-

- 【1】多発性心室性期外収縮に対しての一例
-
-

- 【2】発作性心房粗動に対しての一例
-
-
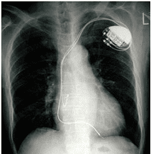
ペースメーカー移植術の一例
-
手術実績
年間手術件数
-
2022年
-
2023年
-
2024年
手術・検査実績
()内は緊急
| 2022年 | 2023年 | 2024年 | |
|---|---|---|---|
| 経皮的冠動脈形成術・ ステント留置術(PCI) |
240(30) | 200(31) | 203(31) |
| 経皮的カテーテル心筋焼灼術 (アブレーション) |
46 | 42 | 46 |
| 経皮的末梢動脈形成術 (下肢・腎・上肢) |
18 | 22 | 22 |
| ペースメーカー移植術 (経静脈電極) |
23 | 19 | 16 |
| ペースメーカー交換術 | 12 | 12 | 11 |
| 心臓カテーテル検査(CAG) | 377(40) | 351(40) | 343(47) |
| 冠動脈CT検査 | 484 | 551 | 552 |
教育入院
-
心不全教育入院
-
お問い合わせ方法
メディア掲載情報
代診・休診等のお知らせ
最終更新日 令和8年2月14日
診療担当医表
| 循環器 内科 | 受付時間 | 診療時間 | 月 | 火 | 水 | 木 | 金 | 土 |
| 【午前】 午前8:00~11:00 | 【午前】 午前9:00~ | 西山 | 米山 | 城島 辻󠄀本※ | 西山 川端(樗木) (10:30~) 小山※ | 恩智 辻󠄀本※ | 浅野 (第2‚4‚5週) |
|
| 【午後】 午後1:00~ 3:30 | 【午後】 午後2:00~ | 高血圧 専門外来 辻󠄀本※ | / | / | / | / | 矢吹※ 2/21) |
※川端(樗木)先生は10時30分からとなります。






